Non-alcoholic fatty liver disease (NAFLD) has emerged as a global health challenge, escalating at an alarming rate.
This progressive metabolic syndrome can lead to severe consequences, including non-alcoholic steatohepatitis (NASH), cirrhosis, and even hepatocellular carcinoma if left unchecked.
Its prevalence is not limited to hepatic complications but also extends its influence to extra-hepatic organs, impacting regulatory pathways and elevating the risk of cardiovascular disease, chronic kidney disease, and type 2 diabetes, among others.
With a steadily increasing global incidence currently at 25%, NAFLD imposes a significant clinical and financial burden on healthcare systems worldwide. Hence, the imperative arises to develop effective strategies to prevent and control this burgeoning condition.
Pathogenesis of NAFLD
The widely accepted but somewhat controversial "two-hit" model outlines the pathogenesis of NAFLD.
In the first hit, insulin resistance induced by a high-fat diet (HFD) and obesity leads to the release of excessive free fatty acids (FFAs) from peripheral adipose tissue into the liver through the bloodstream. FFAs are inherently cytotoxic and can inflict direct damage upon hepatocytes.
Furthermore, the surplus FFAs are transformed into triglycerides (TG) and stored within hepatocytes, resulting in liver steatosis and oxidative damage caused by fatty acids. The second strike revolves around oxidative stress, where intracellular reactive oxygen species (ROS) congregate to assault cells, causing damage to hepatocytes, impairing hepatic enzyme function, and interfering with mitochondrial activity. Additionally, certain inflammatory cytokines activate hepatic stellate cells, fostering the progression of NAFLD into NASH or liver fibrosis, thereby exacerbating the condition.
However, it has recently been found that the “second strike” hypothesis is difficult to explain the complex pathogenicity of NAFLD. Therefore, the academic community proposed the “multiple strikes” hypothesis for the pathogenesis of NAFLD.
As shown in Fig. 2, this hypothesis suggests that dietary habits, insulin resistance caused by environmental and genetic factors, oxidative stress and inflammation involved in mitochondrial dysfunction, obesity caused by adipose tissue dysfunction, and changes in intestinal microbiota jointly promote the development of NAFLD [2].
DHAPS®: Dietary Supplements - A Glimpse of Hope
Recently, dietary supplements have gained considerable attention for their potential to reverse NAFLD. Among these supplements, docosahexaenoic acid (DHA) and eicosapentaenoic acid (EPA), n-3 long-chain polyunsaturated fatty acids (n-3 LC-PUFAs) primarily found in marine microorganisms, animals, and phytoplankton, have emerged as promising candidates.
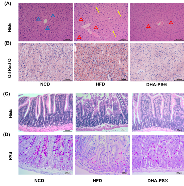
Various studies have indicated that n-3 LC-PUFAs hold the potential to alleviate NAFLD, showcasing significant reductions in liver fat, blood lipid levels, and obesity [3, 4]. Furthermore, DHAPS® supplementation has demonstrated its ability to protect against hepatic steatosis by regulating the gut-liver axis in HFD-induced NAFLD mice [5].
DHA-Enriched Phosphatidylserine: A Novel Approach
Among the diverse forms of n-3 LC-PUFAs, DHA-enriched phosphatidylserine (DHA-PS) has emerged as a unique bioactive phospholipid with anti-inflammatory, lipid-lowering, and anti-apoptotic properties [6].
DHAPS® has exhibited superior efficacy to DHA-enriched phosphatidylcholine (DHA-PC) in various applications, including its potential to combat Parkinson’s disease [6]. In a lipid metabolism model of age-related disorders, DHAPS® has proven more efficacious than DHA-PC in inhibiting lipogenesis and protecting against liver injury [6].
DHAPS® – A Promising Study
While the potential of DHAPS® in various contexts is intriguing, its impact on HFD-induced NAFLD has yet to be explored. Our study aimed to address this knowledge gap. The study began by extracting DHA-enriched phosphatidylcholine (DHA-PC) from herring roe (Clupea harengus) and synthesizing DHAPS® using recombinant phospholipase D (PLD).
Subsequently, an HFD-induced NAFLD mouse model was established, and the effects of DHAPS® were thoroughly evaluated [5]. Parameters such as fat accumulation, blood lipid indicators, and liver function enzymes were scrutinized to determine the efficacy of DHAPS®.
Furthermore, the study delved into the composition of gut microbiota in DHAPS® treated and non-treated HFD mice, employing alpha diversity analysis and linear discriminant analysis (LDA) to gain insights into the potential benefits of this innovative approach. Our studies showed that DHAPS® could regulate the gut-liver axis to ameliorate HFD-induced NAFLD in mice [5, 7, 8].
Conclusion
As the global burden of NAFLD continues to grow, innovative approaches are imperative for prevention and control. DHA-enriched phosphatidylserine, with its unique properties and promising track record in related fields, represents a potential breakthrough in the fight against this challenging condition.
The study discussed here paves the way for further research and holds the promise of improving the lives of individuals affected by NAFLD and associated complications. In the ever-evolving medical research landscape, DHAPS® is a beacon of hope for a healthier future.
DHAPS® is developed and produced with ECA's proprietary technology under the cGMP facility and is ideally suitable for use in dietary supplements and functional medical foods.
By Taking DHAPS®, Consumers Can Expect Positive Effects On:
- Preventing memory loss and age-related cognitive decline
- Reducing the risks of dementia and Alzheimer's disease
- ADHD management
- Other brain and mental activities
Available Forms of :DHAPS®
+ 30% Omega-3-PS (containing 20% DHA-PS), Waxy Liquid
+ 60% Omega-3-PS (containing 40% DHA-PS), Powder
Premium Phospholipids Profile.
References:
- 1.E. E.Powell, V. W. S. Wong, M Rinella. Non-alcoholic fatty liver disease. Lancet, 2021, 397 (10290): 2212-2224.
- E. Buzzetti, M.Pinzani, E. A. Tsochatzis. The multiple-hit pathogenesis of non-alcoholic fatty liver disease (NAFLD). Metabolism, 2016, 65(8): 1038-1048.
- R.Valenzuela, L. A.Videla. The importance of the long-chain polyunsaturated fatty acid n-6/n-3 ratio in development of non-alcoholic fatty liver associated with obesity. Food & Function, 2011, 2(11): 644-648.
- V.Nobili, A.Alisi, G. Musso, E. Scorletti, P. C. Calder, C. D. Byrne. Omega-3 fatty acids: Mechanisms of benefit and therapeutic effects in pediatric and adult NAFLD. Critical Reviews in Clinical Laboratory Sciences. 2016, 53(2): 106-120.
- Y. F.Zhou, S. S.Tian, L. Qian, S. Jiang, Y. P. Tang, T. Han. DHA-enriched phosphatidylserine ameliorates non-alcoholic fatty liver disease and intestinal dysbacteriosis in mice induced by a high-fat diet. Food & Function, 2021, 12 (9), 4021-4033.
- T. T.Zhang, J.Xu, Y. M. Wang, C. H. Xue. Health benefits of dietary marine DHA/EPA-enriched glycerophospholipids. Progress in Lipid Research. 2019, 75: 100997.
- S. STian, Y. F.Zhao, L. Qian, S. Jiang, Y. P. Tang, T. Han. DHA-enriched phosphatidylserine alleviates high fat diet-induced jejunum injury in mice by modulating gut microbiota. Food & Function, 2023, 14, 1415-1429.
- H. L.Zhang, S. S.Tian, Q. L. Zhao, Y. Z. Xu, L. J. Bi, S. Jiang, Y. P. Tang. Non-targeted metabolomics reveals a modulatory effect of DHA-enriched phosphatidylserine in high fat-diet induced non-alcoholic fatty liver disease in mice. Process Biochemistry, 2023, 135: 22-32.



